Finargot
Бриллиантовый Барон ⭐️⭐️⭐️⭐️⭐️
Признанный форумом
Проверенный сервис
Сервис
Пробив сервис
Продавец документов
Силовые акции
Support
Эрудит
Кардинг
Подтвержденный
RuTOR Friendly
Катала
Omertà Project
Меценат
Carding Club
- Сообщения
- 444
- Реакции
- 2.078
- Продажи
- 115
- Депозит
- 0.0430207
- Кешбек
- 110.97$
Как выглядят зубы у употребляющих наркотики людей, и как им взаимодействовать со стоматологами для устранения проблем?
Для более менее опытного стоматолога отличить человека, потребляющего наркотики не составит труда.
У человека, употребляющего или когда-то употребляющего, можно найти несколько нюансов. Все моменты неоднозначны и могут быть у людей с другими диагнозами либо быть дополнением к существующим болезням.
Для того, чтобы это увидеть, не обязательно даже смотреть на зубы, можно обойтись тканями вокруг. Начнём с губ.
Губы чаще всего либо бледные либо с синеватым оттенком, с ранами, глубокими трещинами, которые не заживают - это бывает от курительных смесей, типа марихуаны, бонгов и пр.
Если вывернуть губу, можно на слизистой увидеть накущенные от нервозности места и белые пятна - от курения, в основном, либо от втирания веществ.
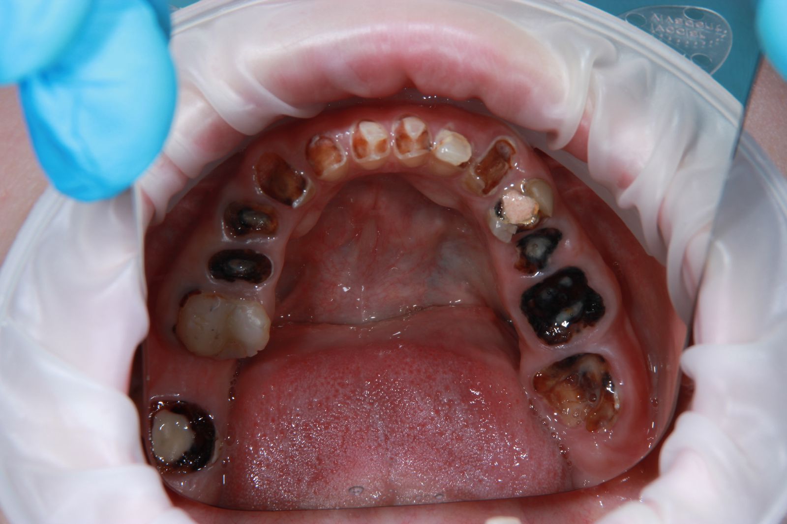
Во рту могут быть разные изменения, условно поделить можно на плюс ткань и минус ткань. Но это уже не симптомы скорее, а последствия.
Сама десна может быть насыщенно красная с вкраплениями красными, будто усыпанная красными точечками - чаще всего такое бывает от втирания чего-либо в десну.
Затем зубы.
У втирающих что-то в десну также обычно могут быть стерты шейки зубов, так, будто чем-то острым срезали эмаль под углом.
Очень часто у употребляющих снижено понятие боли, поэтому зубы могут быть в очень плохом состоянии. То есть они могут либо отсутствовать, от них остаются чёрные корешки, могут быть обломаны, стерты. Часто шейки могут быть от темно-коричневого до черного цвета, крошится просто на глазах. Покрыты огромным количеством зубного налета, камнями. При этом ни один из симптомов может не доставлять боли, а лишь эстетический дискомфорт.
Несмотря на то, что довольно болезненные поражения зубов могут не доставлять боли, лечение зубов может быть наоборот чересчур болезненным, поскольку эффективность анестетика будет снижена. Поэтому предупреждайте стоматолога о том, что вам потребуется побольше анестезии.
У человека, употребляющего или когда-то употребляющего, можно найти несколько нюансов. Все моменты неоднозначны и могут быть у людей с другими диагнозами либо быть дополнением к существующим болезням.
Для того, чтобы это увидеть, не обязательно даже смотреть на зубы, можно обойтись тканями вокруг. Начнём с губ.
Губы чаще всего либо бледные либо с синеватым оттенком, с ранами, глубокими трещинами, которые не заживают - это бывает от курительных смесей, типа марихуаны, бонгов и пр.
Если вывернуть губу, можно на слизистой увидеть накущенные от нервозности места и белые пятна - от курения, в основном, либо от втирания веществ.
Во рту могут быть разные изменения, условно поделить можно на плюс ткань и минус ткань. Но это уже не симптомы скорее, а последствия.
Сама десна может быть насыщенно красная с вкраплениями красными, будто усыпанная красными точечками - чаще всего такое бывает от втирания чего-либо в десну.
Затем зубы.
У втирающих что-то в десну также обычно могут быть стерты шейки зубов, так, будто чем-то острым срезали эмаль под углом.
Очень часто у употребляющих снижено понятие боли, поэтому зубы могут быть в очень плохом состоянии. То есть они могут либо отсутствовать, от них остаются чёрные корешки, могут быть обломаны, стерты. Часто шейки могут быть от темно-коричневого до черного цвета, крошится просто на глазах. Покрыты огромным количеством зубного налета, камнями. При этом ни один из симптомов может не доставлять боли, а лишь эстетический дискомфорт.
Несмотря на то, что довольно болезненные поражения зубов могут не доставлять боли, лечение зубов может быть наоборот чересчур болезненным, поскольку эффективность анестетика будет снижена. Поэтому предупреждайте стоматолога о том, что вам потребуется побольше анестезии.
Сейчас может создаться ощущение, что к стоматологу в принципе ходить не надо.
Ходить надо! При этом стоматолог должен быть адекватный, который не будет лезть в ваши дела, а только делать свою работу - латать дыры, давать советы по лечению десны, назначать заживляющие мази, восстанавливать утерянные зубы. Опять же, частный стоматолог будет задавать меньше вопросов, поэтому учитывайте это, прежде, чем решите пойти в сетевую клинику «удобно у метро, в моем подъезде, напротив дома»
Сразу прошу не обижаться на врачей, если они потребуют анализ на Вич, сифилис, гепатит и общий анализ крови.
Ходить надо! При этом стоматолог должен быть адекватный, который не будет лезть в ваши дела, а только делать свою работу - латать дыры, давать советы по лечению десны, назначать заживляющие мази, восстанавливать утерянные зубы. Опять же, частный стоматолог будет задавать меньше вопросов, поэтому учитывайте это, прежде, чем решите пойти в сетевую клинику «удобно у метро, в моем подъезде, напротив дома»
Сразу прошу не обижаться на врачей, если они потребуют анализ на Вич, сифилис, гепатит и общий анализ крови.
Лайфхаки для лечения зубов по выгодным ценам:
1. Ищите учебные стоматологические центры, на которых опытные стоматологи кмн прорабатывают последние лучшие технологии на ваших зубах. Из плюсов - низкая цена, из минусов - лечение проходит немного дольше, посещать надо раз в неделю примерно, ваши зубы каждый раз будут обсуждаться и разглядываться.
2. Поликлиники с системой ОМС. Это хороший способ вылечить зубы почти бесплатно, если там учится ваш знакомый.
3. Как уже говорилось ранее, частный врач. Цены дешевле, тк его не волнует работа админа, склада, количество воды, электричества и прочего. Цены устанавливает сам, ниже рынка. Если зубы совсем в плохом состоянии, то вариант удалить все, ставить имплантаты и на них новые зубами - это хороший вариант, и у частного врача будут норм цены.
В остальных вариантах, к сожалению, с вас могу потребовать какую-то нереальную цену за лечение либо постараться от вас избавиться.
Последнее редактирование:
